• ホワイトニングの効果を考察する

    今回は、ホワイトニングに関して書きたいと思います。ホワイトニングは、薬剤によって歯の表面や内部にある不純物を分解することによって歯を白くします。ここで注意したいのは、作用するのはエナメル質だけで、エナメル質の下にある象牙質には作用しません。よって、エナメル質が極端に薄い症例にはあまり効果が発揮できないのです。先日施術した症例を2例紹介したいと思います。

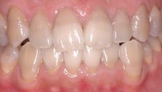
    上の症例は40代女性の方で根元のエナメル質が薄く、やはり均一には白くなりませんでした。(少し白くなっているのはマスキング効果というものです。また、後日書きたいと思います。)患者様には、施術前にきちんとお話してあるのでご理解していただいております。しかし、リップサポートも十分あり実際は唇を持ち上げない限りそれほど目立たないのでとてもご満足しておられました。

    下の症例は、20代の女性でエナメル質はほぼ均一にあります。この場合は、根元まで均一に白くなります。

    ホワイトニングは、歯の状態によって白くならないこともあるので、まずはじめに担当医と相談することをお勧めいたします。また、白くならないからと言って高い濃度の薬剤をつかうと知覚過敏がでてつらい思いをすることもあるので注意が必要です。

ご予約・お問い合わせ

お気軽にお問い合わせ・ご相談ください

03-3962-0012

【月火水金】10:00-13:00 / 14:00-18:20
【土曜】10:00-13:00 / 14:00-17:30
日曜】10:00-14:00【木曜】10:00-13:00
※診療時間10分前最終受付
【休診日】木曜、日曜(不定期)・祝日

JR埼京線 板橋駅西口より徒歩0分
地下鉄三田線 新板橋駅より徒歩5分
東武東上線 下板橋駅より徒歩6分

〒173-0004 東京都板橋区板橋1-14-6

診療時間

岩永歯科医院

診療カレンダー

:休診 :矯正診療 :日曜診療